Die Ellbogendysplasie ist die häufigste Entwicklungsstörung des Ellbogengelenks bei juvenilen und erwachsenen Hunden mittelgroßer und großer Rassen und verursacht oftmals eine Lahmheit der Vordergliedmaßen. Viele Rassen (Labradore etwa) haben eine genetische Veranlagung, eine Ellenbogengelenksdysplasie zu entwickeln.
Der Ellbogendysplasie-Komplex umfasst verschiedene Erkrankungen:
▪ Coronoiderkrankung (CD), auch bezeichnet als Fragmentierung des Processus coronoideus medialis ulnae
▪ Osteochondritis dissecans (OCD) des medialen Teiles des Humeruskondylus
▪ isolierter Processus anconaeus (IPA)
▪ Inkongruenz des Ellbogengelenks
Diese Erkrankungen können sich isoliert oder in Kombination präsentieren. Jede Form der Ellbogendysplasie kann eine irreversible Osteoarthrose (OA) des Gelenks durch Knochen- und Knorpelläsionen, Instabilität und chronische Synovitis hervorrufen. Die Ellbogendysplasie des Hundes wird als eine polygenetische Erkrankung beurteilt, wobei Umgebungsfaktoren und genetische Faktoren bei der Entwicklung der Läsionen eine entscheidende Rolle spielen
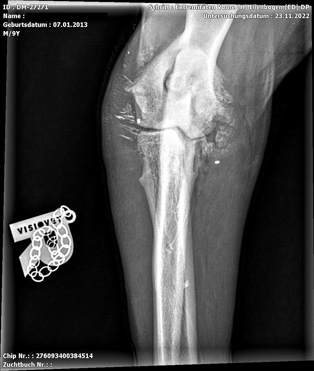
Die Coronoiderkrankung ist die am häufigsten vorkommende Form des Ellbogendysplasie-Komplexes. Die Symptome können initial subklinisch sein, sich aber auf Dauer als deutliche Lahmheit manifestieren. Die Coronoiderkrankung ist, wie viele Gelenksläsionen, durch eine progressive Osteoarthrose charakterisiert.
Coronoiderkrankung
Die Coronoiderkrankung ist unter den verschiedenen Formen der der Ellenbogengelenksdysplasie die häufigste Ausprägung der Erkrankung.
Eine gründliche Diagnostik hilft die Erkrankung zu diagnostizieren und die Schädigung des Gelenkes umfassend zu analysieren. Hier hilft uns unser CT und die Arthroskopie. Zur abschließenden Diagnostik und vor allem Therapie hat sich die Arthroskopie international als Goldstandard durchgesetzt. Sie ermöglicht eine direkte Beurteilung von Knochen und Gelenkknorpel. Wir operieren bereits seit 2004 Gelenke arthroskopisch.
Wenn Sie Fragen haben oder einen Termin vereinbaren möchten, rufen Sie uns an: 02150 705732


