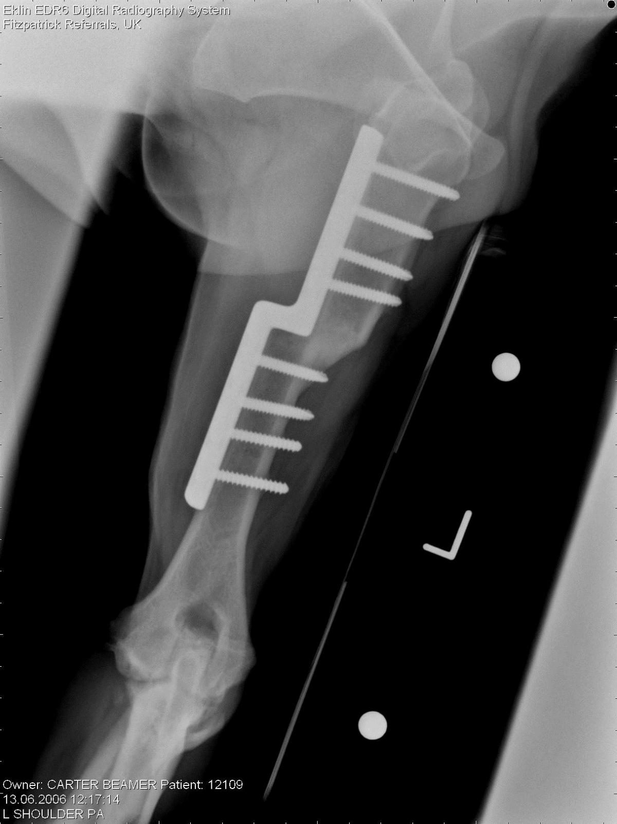
SHO sliding humeral osteotomy

sliding humeral osteotomy (SHO)

sliding humeral osteotomy (SHO)

nach sechs Wochen verheilte SHO (Noel Fitzpatrick)

Die SHO (sliding humeral osteotomy) ist eine relativ neue Operationstechnik zur Bekämpfung hochgradiger Lahmheiten in Folge einer Ellbogengelenksdysplasie. Trotz der Tatsache, dass zur Zeit nur eine handvoll Tierärzte für diese Operationstechnik lizensiert sind, nimmt die Zahl der operierten Tiere rasant zu, da in vielen Fällen dies die einzige Möglichkeit ist, Hunden mit Ellbogengelenksarthrose im Endstadium zu helfen.

Prinzip:
Durch eine Korrektur des Oberarmes wird die Belastung des Ellbogengelenkes verändert. Die in vielen Fällen wenig betroffenen äußeren Anteile des Ellbogengelenkes werden mehr belastet, die inneren Anteile, hier ist der Knorpel sowohl an Oberarm als auch Unterarm verschwunden, entlastet. In Studien konnte nachgewiesen werden, dass durch diese Entlastung sich mit der Zeit sogar eine Art Ersatzknorpel über den vorher blanken Knochen legt. Die starken Veränderungen des inneren Anteiles des Ellbogengelenkes werden auch als mediales Compartment Syndrom bezeichnet. Diese Erkrankung war bis zur Entwicklung der SHO Technik nicht behandelbar.

mediales Compartment Syndrom

mediales Compartment Syndrom

Der Knorpel an oberem un unterm Anteil des Gelenkes ist zerstört. Der Hund läuft auf dem blanken, rosa Knochen. (Noel Fitzpatrick)

Ergebnisse:
Die mit einer SHO behandelten Hunde haben häufig eine dramatische Verbesserung ihrer Lebensqualität. Bei korrekter Durchführung ist die Komplikationsrate ausgesprochen gering.

Diese Website verwendet Cookies – nähere Informationen dazu und zu Ihren Rechten als Benutzer finden Sie in unserer Datenschutzerklärung am Ende der Seite.

https://www.tierarzt-meerbusch.de/common/info/datenschutz.html

Klicken Sie auf „OK“, um Cookies zu akzeptieren und direkt unsere Website besuchen zu können.

Einstellungen